- 9 เหตุผล ที่ทำให้ใครๆก็เลือกจัดฟันที่คลินิก SMILE CENTRAL
- 9 ขั้นตอนง่ายๆสำหรับท่านที่อยากจัดฟัน
- เครื่องมือจัดฟัน
- ชนิดของการจัดฟัน
- ควรเรื่มจัดฟันเมื่อไหร่
- สาเหตุที่ต้องจัดฟัน
- อุปกรณ์ที่ใช้ในการจัดฟัน
- ข้อควรปฏิบัติระหว่างจัดฟัน
- การปฏิบัติตัวในกรณีฉุกเฉิน
- รีเทนเนอร์
- FAQ: คำถามที่พบบ่อยเกี่ยวกับการจัดฟัน
- ตัวอย่างเคส
อุปกรณ์ที่ใช้ในการจัดฟัน
แหวนจัดฟัน ( Band)
มีลักษณะเป็นวงแหวนใช้สำหรับครอบยึดติดกับตัวฟัน ทำจากแผ่นโลหะเหล็กกล้าไร้สนิม โดยส่วนใหญ่จะทำการใส่แหวนจัดฟันที่ฟันกราม เนื่องจากเป็นฟันที่ต้องรับแรงมากๆ ปัจจุบันไม่ค่อยนิยมเนื่องจากดูแลรักษาความสะอาดยาก ยกเว้นในกรณีที่เครื่องมือแบรกเกตหลุดบ่อย หรือฟันที่ต้องรับแรงมากๆ

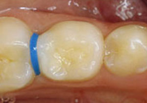
ยางแยกฟัน (Separator)
ใช้ในการเตรียมฟันเพื่อใส่เครื่องมือจัดฟันแบบติดแน่น โดยยางจะค่อย ๆ ดันฟันหลังซึ่งปกติจะอยู่ชิดกันแน่นให้หลวมขึ้น เพื่อเป็นที่อยู่ของแหวนจัดฟันหรือแบนด์ (Band)
เมื่อเริ่มใส่ยางแยกฟัน จะรู้สึกแน่น ๆ เหมือนมีเศษอาหารติด เวลากัดฟันอาจรู้สึกว่ากัดโดนยางเพราะส่วนหนึ่งของยางแยกฟันอยู่บนด้านสบฟัน ถ้ามีอาการปวดหรือแน่นมาก สามารถ ทานยาแก้ปวดได้ อาการปวดจะบรรเทาลง ใน 2-3 วัน ควรเลี่ยงอาหารเหนียวที่จะติดและดึงยางแยกฟันออก และเลี่ยงการใช้ไหมขัดฟันบริเวณนี้ชั่วคราวเพราะยางจะหลุดได้ หากยางแยกฟันหลุดเกินกว่า 3 วันก่อนวันนัดติดแบนด์ ควรติดต่อทันตแพทย์เพื่อใส่ยางให้ใหม่

แบรกเกต (Bracket)
เป็นเครื่องมือจัดฟันที่ได้รับการออกแบบเฉพาะสำหรับฟันแต่ละซี่ โดยจะมีร่องตรงกลางสำหรับใส่ลวด แบรกเกตที่ใช้ในคลินิกเป็นชนิดที่มีการปรับมุมของร่องและฐานแบรกเกตแล้ว ซึ่งจะสามารถควบคุมการเคลื่อนของฟันได้ทุกทิศทาง ช่วยลดระยะเวลาในคลินิก และช่วยให้การสบฟันและตำแหน่งของฟันเป็นไปตามความต้องการหลังการจัดฟัน

ลวดจัดฟัน
ลวดที่นิยมใช้ในการจัดฟัน มี 2 แบบ คือ
- ลวดสแตนเลส มีความแข็งแรง ไม่เป็นสนิม ไม่บิดงอได้ง่าย สามารถดัดขึ้นรูปได้และมีความฝืดต่ำในการเคลื่อนผ่านช่องของเครื่องมือ (Bracket)
- ลวดโลหะผสม เช่น ลวดนิเกิ้ลไทเทเนียม (Nickle-Titanium, NiTi) มีความนิ่ม โค้งงอได้และกลับคืนรูปได้เหมือนเดิม จึงนิยมใช้ในช่วงแรกๆ ของการจัดฟัน ที่ฟันยังเกอยู่มาก
หนังยางดึงฟัน
การเลื่อนฟันบางตำแหน่งในการจัดฟัน ต้องอาศัยความร่วมมือของคนไข้เป็นสิ่งสำคัญ โดยการใส่หนังยางดึงฟัน (Elastic) ตามที่ทันตแพทย์จัดฟันแนะนำอย่างเคร่งครัดจะทำให้ฟันเลื่อนเข้าที่ได้รวดเร็ว ทันตแพทย์จัดฟันจะแนะนำวิธีใส่หนังยาง ทิศทางและตำแหน่งของหนังยาง รวมทั้งระยะเวลาในการใส่ เช่น ใส่ตลอดเวลา หรือ ใส่เฉพาะบางเวลา คนไข้ควรเปลี่ยนหนังยางทุก 12 - 24 ชั่วโมงหลังใส่ เพราะยางจะล้า หมดแรงดึง ควรใส่หนังยางคืนทันทีหลังทานอาหารและหลังทำความสะอาดฟัน การใส่หนังยางไม่สม่ำเสมอ ฟันจะเลื่อนไปแล้วเลื่อนกลับ ถ้าตะขอที่เกี่ยวหนังยางบิด หรือหัก ให้รีบติดต่อทันตแพทย์ทันที ฟันที่เกี่ยวหนังยางอาจมีอาการเจ็บ ๆ หรือ โยกเล็กน้อย หลังใส่หนังยางเป็นเวลานาน ซึ่งเป็นปกติ ไม่ต้องกังวล ถ้ามีอาการมากผิดปกติ ให้ติดต่อทันตแพทย์จัดฟันทันที

เครื่องมือพิเศษช่วยเสริมในการจัดฟัน
หมุดจัดฟันไทเทเนียม (Mini-Implant)
เป็นเครื่องมือเสริมในการจัดฟัน ลักษณะเป็นหมุดไทเทเนียมขนาดเล็กฝังผ่านเหงือกไปที่กระดูกที่ไม่มีฟันอยู่ เพื่อเป็นหลักยึดในการดึงฟันไปในทิศทางต่างๆที่ต้องการ ในกรณีที่ไม่สามารถใช้ฟันในช่องปากเป็นหลักยึดได้ ซึ่งหมุดจัดฟันนี้ใช้เฉพาะในการจัดฟันเท่านั้น หลังจากที่ฟันเคลื่อนไปสู่ตำแหน่งที่ต้องการแล้วก็จะเอาหมุดออก ขั้นตอนการปักหมุดไม่เจ็บและไม่ยุ่งยาก เพียงแค่ใส่ยาชาเฉพาะตำแหน่งเท่านั้น

ลวดยึดระหว่างฟันกราม
เป็นลวดยึดระหว่างฟันกรามผ่านกลางเพดาน หรือลวดยึดระหว่างฟันกรามล่าง เพื่อเพิ่มหลักยึดในการเคลื่อนฟันระหว่างจัดฟัน


ยึดมั่นในการให้บริการ
ด้วย