Smile Central
Primary navigation
หน้าหลัก
ข่าวสาร/กิจกรรม
เกร็ดความรู้เรื่องฟัน
ติดต่อเรา
02 194 2888-9
info@smilecentral.dental
Secondary navigation
รู้จักสไมล์เซ็นทรัล
เยี่ยมชมคลีนิค
การรักษา
ทีมทันตแพทย์
เทคโนโลยี
แกลอรี่ยิ้มสวย
ค่ารักษา
แกลลอรี่ยิ้มสวย
หน้าหลัก
แกลลอรี่ยิ้มสวย
จัดฟันแบบลวด
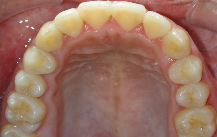
ฟันล่างค่อมฟันบน : เคส 7
ฟันล่างค่อมฟันบน : เคส 7
Close sidebars
Menu lv0 [+]
Menu lv1-1
Menu lv1-2
Menu lv1-3
Menu lv1-4 [+]
Menu lv2-1
Menu lv2-2
Menu lv2-3
Menu lv2-4 [+]
Menu lv3-1
Menu lv3-2
Menu lv3-3
Menu lv3-4